24/7 Support

We are always open at KK Nagar

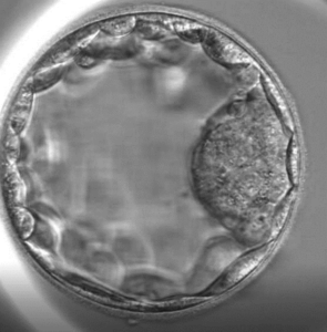
Blastocyst culture

Best Blastocyst Culture Procedure: Our Expertise in Chennai

Kanaa Fertility Centre is one of the top-rated clinics in Chennai providing Blastocyst procedure. Our team of experts helps patients interested in knowing what is Blastocyst Culture and its benefits before the treatment. Book Now!

What is a Blastocyst?

  • If you are wondering what is a blastocyst, it is an embryo that has reached the stage of the blastocyst — an empty structure with an inner cell mass and outer layer of cells. At Day 5 of development in the incubator, the blastocyst embryo is larger and contains more cells than a Day 3 embryo. Understanding blastocyst vs embryo helps couples see why this stage can increase implantation opportunities during blastocyst IVF.

These are then graded and either transferred in case of a fresh transfer or frozen in case of a frozen transfer 

No more than two blastocysts can be implanted at a single transfer and the excess are always stored for future use

If we want to reduce the chance of multiple pregnancy to a minimum,it is preferable to opt for an elective single embryo transfer referred to as e-SET

breast cancer

Purpose of Blastocyst Culture

  • Develop embryos in a precisely controlled incubator to the blastocyst stage for maximum selection.

  • Improve success rates of blastocyst IVF by transferring embryos at their most viable stage.

  • Minimize the risk of multiple pregnancy using elective single embryo transfer (e-SET).

Blastocyst Culture Procedure

  • The process is carried out in a specially equipped IVF laboratory:

    1. Embryo Development – Embryos are cultured post-fertilization until the blastocyst stage (Day 5).

    2. GradingBlastocyst embryos are graded for quality and implantation potential.

    3. Transfer or Cryopreservation – High-quality blastocysts are either transferred in a fresh cycle or cryopreserved for frozen transfers.

    4. Elective Single Embryo Transfer (e-SET) – To minimize multiple pregnancy risks, no more than two blastocyst embryos are transferred; most patients choose e-SET.

    5. Storage – Additional blastocyst embryo samples are frozen for later IVF cycles.

Blastocyst vs Embryo

In conventional IVF, embryos are transferred on Day 3, whereas blastocyst IVF transfers occur on Day 5 at the blastocyst stage. Longer culture allows embryologists to select embryos with the best implantation potential, increasing pregnancy rates and reducing multiple pregnancies.

Who Can Benefit from Blastocyst Culture?

Why Pick Kanaa Fertility Centre for Blastocyst Culture?

Kanaa Fertility Center has a high success rate for blastocyst IVF cycles. Our expert team guides you through each step — from consultation, extended embryo culture, and blastocyst embryo transfer, to follow-up. With priority on patient care, education, and safe procedures like e-SET, we ensure your well-being throughout your fertility journey.

FAQs

A blastocyst is an embryo that has developed for about 5 days after fertilization. It has more cells and a fluid cavity, making it more likely to implant successfully.

Blastocyst culture is the process of growing embryos in a lab until they reach the blastocyst stage (Day 5) before transfer or freezing.

  • In blastocyst IVF, embryos are transferred at the blastocyst stage, which can increase implantation chances and reduce the risk of multiple pregnancies.

 An embryo is the early stage after fertilization (Day 2–3), while a blastocyst embryo is a more developed stage (Day 5) with a higher chance of implantation.

Typically, no more than two blastocyst embryos are transferred at one time. For reducing multiple pregnancy risks, elective single embryo transfer (e-SET) is recommended.

Yes. Good-quality blastocyst embryos can be frozen for future use, making future IVF cycles less invasive.

Yes. It is a widely used and safe technique performed under strict laboratory conditions by skilled embryologists.

Blastocysts are evaluated based on size, cell number, and inner cell mass quality to select the best embryos for transfer or freezing.

Yes. Transferring embryos at the blastocyst stage generally improves implantation rates compared to earlier-stage embryos.

 

Not all embryos develop into blastocysts. Some may arrest before Day 5, which is why careful lab monitoring during blastocyst culture is important.